
It is essential to identify and treat fractured teeth in dogs & cats.
Dogs and cats frequently fracture their teeth. In many cases, this can expose the pulp (nerve) chamber and lead to the infection and death of the tooth. The exposed nerve chamber can appear as a small pink spot in the fractured area. This is painful for the pet, and it can take years for the dead tooth to finally fall out. By the time it falls out, adjacent teeth can be affected as well.
Patient with a fractured lower first molar and exposure of the pulp (nerve) chamber.
Keep in mind that even pets with severe dental pain almost never show obvious signs of discomfort. While dental fractures are painful, we are not adept at recognizing the signs of pain in pets. Teeth may also be fractured without any exposure of the pulp (nerve) chamber. When the thin enamel layer of the tooth is lost, this exposes the dentin layer, which is composed of tiny tubules. The tubules are a direct fluid-filled conduit to the nerve, and are large enough to allow bacterial migration. Exposure of this dentin layer is painful, and frequently allows infection to develop inside the tooth, where it can remain undetected for years! Many owners (and Veterinarians!) do not realize that fractured teeth frequently become infected, even if the pulp chamber is not exposed.
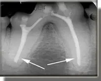
Fractured tooth with no exposure of pulp (nerve) chamber.
Radiographs show large areas of damaged bone, even though the nerve chamber was not exposed by the fracture. According to the owner, this patient acted “years younger” after treatment.
All fractured teeth need to be assessed with dental radiographs to help determine if they are a problem for the pet. Fractured teeth that are not infected should be smoothed and the exposed dentin should be “sealed” with bonded dental materials that decrease sensitivity and help decrease the chances of future infection. Fractured teeth that are infected should be treated with root canal therapy or extracted. Waiting for the pet to show signs of pain, which hardly ever happens, can actually leave the pet in pain for years.





