Your pet is likely a victim of periodontal disease. Periodontal disease refers to the destruction of the supporting apparatus of the tooth, including the bone and periodontal ligament that hold the tooth in the socket. Periodontal disease is the most common reason for pets to lose teeth and is the most commonly diagnosed medical condition in mature dogs and cats. In fact, most dogs and cats over the age of five years suffer from periodontal disease. If your pet has one or two “loose teeth” extracted every time the teeth are cleaned, there are likely other teeth with periodontal problems that have been overlooked that might be treatable. When properly cared for, your pet’s mouth can be more comfortable, and their teeth can last a lot longer.
Patient with severe periodontal disease.

Patient before cleaning.

After cleaning, showing exposure of roots and loss of bone. This degree of disease takes years to develop, and could have been prevented with timely treatment.
Periodontal disease takes place mainly under the gum line, hidden from your view. Periodontal disease is caused by bacterial infection and the response of the patient to that infection. Treatment is aimed at eliminating the voids that form under the gums, trapping debris and infectious material. Treatment may involve reduction of overgrown gums, surgical exposure of roots, meticulous cleaning of all root surfaces so that healing can take place, and the placement of graft materials to help replace missing bone.
We frequently find small lesions that are causing big problems. Just because a tooth is not loose does not mean that there isn’t a problem or discomfort. Dental radiographs are absolutely required to guide appropriate treatment for periodontal disease. Without dental X-rays, painful problems will remain undetected.
Hidden periodontal problems.

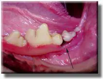
Patient with what appears to be a small periodontal pocket. (arrow)

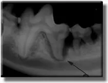
Radiograph reveals severe bone loss and an abscessed tooth.
Half of the lower jaw bone has been destroyed by infection under the gum line, and the tooth required extraction. This process took years to occur, but was hidden under the gum line, out of view. If this had been caught sooner, the tooth could have been treated as in the case below.
Surgical treatment of periodontal disease.
In some cases, deeper areas of periodontal disease with bone loss can be surgically treated to regenerate the bone, heal the void under the gum line and save important teeth. This form of treatment, termed “open root planing”, creates an environment for the normal supporting tissues of the tooth to regenerate.

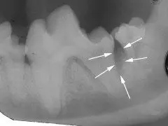
Dental radiograph of this left lower first molar shows a large area of missing bone (arrows) due to long-term infection under the gum line. Treatment of this large chewing tooth is preferred to the trauma of extraction.

A gum flap has been lifted up, the pocket has been cleaned, and a bone graft material has been placed into the defect.

A sheet of barrier material is placed over the graft material to help guide the correct regeneration of the supporting structures of the tooth.

After closure of the surgical site.

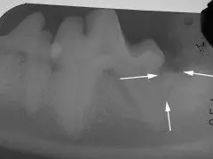
Dental radiograph shows the graft material placed into the defect. The smaller, less important, adjacent molar has been extracted.
Gingival Hyperplasia
Overgrown gum tissues commonly occur and allow debris to collect under the gum line. This is very common in boxers and can be caused by certain medications. This form of periodontal disease is easily treatable by surgical removal of the overgrown tissues. We use a radiosurgical unit for this procedure, which results in very little bleeding and rapid healing of the tissues.

Patient with severely overgrown gums.

After gum reduction.

Two weeks after treatment, showing healed tissues.
