Canine root canal therapy is a treatment that removes the dead or infected pulp from the hollow space inside the tooth, cleans and disinfects this hollow space and then fills the inside of the tooth with materials that prevent the accumulation of bacteria inside the tooth. Root canal therapy is an alternative to the extraction of a tooth and is most commonly used for larger or more important teeth like the canine teeth (fangs) and the main chewing teeth in the back of the mouth.
3 Reasons A Dog Might Need Root Canal Therapy
1. Treating a Fractured Tooth
In some fractured teeth, the pulp (nerve) chamber has been exposed. These fractures are very painful and always cause death of the tooth and infection inside the tooth. There are three potential options for the treatment of fractured teeth with exposure of the pulp (nerve) chamber.
The first is vital pulp therapy (aka “pulp cap therapy”), which is occasionally done in patients under 18 months of age with very recent fractures. For this procedure to work, the tooth needs to be treated within 1-2 days after the fracture occurs. In many cases, the exact time of the fracture is unknown, so vital pulp therapy is not a good choice. The second option is extraction of the tooth. This is more traumatic, especially with the larger teeth, and results in loss of function of the tooth. The third option is root canal therapy. Root canal therapy requires no surgery, stitches or drilling away of bone and preserves the tooth’s function. Done correctly, root canal therapy has a very high long-term success rate.

Fractured tooth with exposure of the pulp (nerve) tissue (arrow).
2. Infection of The Tooth
Another reason for considering root canal therapy is when we find radiographic evidence of infection inside the tooth. A tooth can become infected inside from a very small chip or fracture. The infection hides inside the tooth and then trickles out the ends of the roots, damaging the surrounding bone.
This bone damage can sometimes be seen on a dental X-ray. When a tooth is infected inside it can either be extracted or treated with root canal therapy. Root canal therapy on an infected tooth can almost always be performed, but occasionally there is too much damage to the roots from long-term infection to allow treatment.
At Montana Pet Dentistry and Oral Surgery, our board-certified veterinary dentist will decide if these teeth are good candidates for root canal therapy after an anesthetized oral exam and dental radiographs are reviewed. It is important to note that many infected teeth will be missed without dental X-rays. They may appear normal and healthy on an awake physical exam, even if they have been infected for years.

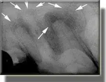
Large chewing tooth on the left upper side, showing damaged areas of bone around the ends of the roots (arrows), caused by infection inside the tooth leaking out the ends of the roots.
3. A Dead Tooth
The third reason your dog might need root canal therapy is if a tooth is dead. The options for dead teeth are root canal therapy or infection. Dead teeth are typically (but not always) discolored and discolored teeth should always be radiographed to see if they are alive. There are two types of discoloration, intrinsic and extrinsic.
Extrinsic discoloration is staining from a source outside the tooth, such as chewing on metal cages or administration of tetracycline-type antibiotics when given to young dogs. teeth with extrinsic staining are usually still vital (alive) and do not require any treatment.
Intrinsic discoloration (fro0m inside the tooth) is usually caused by trauma to the tooth that causes bleeding inside the tooth. These teeth typically start out pink, then turn purple and eventually tan. Most discolored teeth are non-vital. If the tooth is non-vital, the dead tissue inside the tooth will decompose and leak out the end of the root causing bone loss around the end of the root and predispose the patient to infection inside the tooth.
Root canal therapy is far less traumatic than extraction for non-vital (dead) teeth and can save teeth that would otherwise be lost. Losing the main chewing teeth can lead to more problems in the future because the patient may only chew on one side of the mouth. As a result they will have much higher calculus (tartar) accumulation on that side. Loss of a canine tooth (fang) may also decrease your dog’s ability to do their job (retrieve, herd, bite work etc.).

Intrinsic discoloration (purple tooth)
Canine Root Canal Therapy in Montana
If you are concerned that your pet may need a root canal or if you have any further questions on root canal therapy in dogs, please give us a call. And if it’s been a while since your dog has had a proper, anesthetized dental cleaning (COHAT), schedule one with us today. Dental cleanings are when we most often find infection or oral disease that has been hiding in our pets.
Photo by Marliese Streefland on Unsplash (3/15/2021)
